子ども健康矯正・家族全員の歯を守る

子ども健康矯正・家族全員の歯を守る

【キャンセルポリシー】
WEBでの初診予約で無断キャンセルをされた方は、信頼関係の構築が困難であるため、それ以降の診療をお断りさせていただきます。
※予約後の変更はお電話にて承ります。

小児オーバーレイ治療とは?

子どもの歯科矯正は、「オーバーレイ」と呼ばれる治療です。

個人個人の成長に対応するためには、
骨格や顎の動きをきちんと調べたうえで、
長期的な治療計画を個別にたてることが必要になります。

当院では、お子様の成長を長期的な視点で考え、治療計画を立ています。

お口の健全な発育はお子様の生涯の健康を左右します。 

成長期の多感な時期にできる限り負担の少なく、
長期的な視点で治療を行う「オーバーレイを用いた小児矯正治療」が
お子様の生涯の健康増進のお役にたてればと思っております。

特徴

①お子様に負担が少ない
(来院回数が少なく治療期間がだらだらと長くならない) 

②ご家庭ので協力がほとんど必要ない
(取り外しの必要なし)

③長期的な視点で骨格全体の発育を促す
(重度の出っ歯、受け口の方の対応が可能)

オーダーメイドで作成

この矯正治療では、第一乳臼歯、第二乳臼歯の上に、金属またはプラスティックのかぶせ物を装着することにより、下顎と永久歯を正しい位置に誘導し、顎顔面の成長を適切に促す咬合誘導治療(こうごうゆうどうちりょう)です。 

このお子様に装着するオーバーレイは、顎機能総合検査から算出されたデータに基づいて、オーダーメイドで作成します。

従来からある顎外固定装置や
可撤式矯正装置との違い

従来からある顎外固定装置(頭にバンドなどを付ける装置)や可撤式矯正装置(取り外し式の装置)は、
お子様に対する負担が大きく、装置を付けていないと効果を発揮しないのが現状でした。

当院で行っている顎顔面矯正も、固定式の装置を使うので清掃性の問題、発音、痛みの問題がありました。
しかし、オーバーレイ治療は、見た目の問題や、取り外しの手間が無いので、お子様に対する負担が少ない矯正治療と言えます。

当院では顎顔面矯正/小児オーバーレイ矯正を 症例にあわせて選択しています。
(併用することもあります) 併用の基準は診察して院長が判断しています。

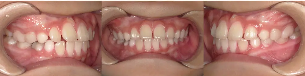
症例

症例①

小児オーバーレイ治療
小児オーバーレイ治療

症例②

小児オーバーレイ治療
小児オーバーレイ治療

症例③

BEFORE 乳歯反対咬合

BEFORE 乳歯反対咬合

オーバーレイset 7歳

オーバーレイset 7

After8歳

After 8

11歳、ワイヤー

解説動画

小児オーバーレイ治療の流れ

お子さまの鼻炎・イビキ・姿勢の悪さなど、実は「かみ合わせ」が問題かもしれません。

ステップ① カウセリング

20分弱 3000円 顎顔面矯正、オーバーレイ矯正もしくは成人矯正が適正か、判断します。 

ステップ② 精密検査

CADIAXという顎の動きを測定する機械など、オーダーメイドのオーバーレイを作成するために様々な検査を行います。

1時間×2回
料金 40,000円 (税込み)

ステップ③ 精密検査の説明、見積もり

・矯正代 480,000円~

・調整代 7000円/月

(2回払い オーバーレイSET時(8歳)

11歳ころ 部分的なワイヤー設置時)

支払い方法(分割可)

ステップ④ オーバーレイ装着

オーバーレイ装着後は、定期的に確認のみになります。

8歳で装着後は11歳ころまではなにもすることはありません。保険診療で予防指導(歯磨き指導やフッ素塗布)を行います。

オーバーレイ治療だけで歯並びが良くなる方もおられます。しかし、多く場合、オーバーレイに加えて11歳ころにツーバイフォー(前歯2本と奥歯4本だけに装置をつける)を併用します。

Q:治療を受ければ、大人の歯科矯正治療は必要ないのでしょうか?

A:かみ合わせの悪さの度合いによっては、治療が必要になります。なぜなら、オーバーレイ治療は大人の歯が正しい位置に生えるように促すことはできます。しかし、生えてくる永久歯の大きさや向きまでは、人間がコントロールできません。それで、歯の大きさや向きなどによって調整が必要な場合が生じます。それでも、既に正しい位置に生えている訳ですから、オーバーレイ治療をしていない場合と比較して、短期間の矯正で済みます。 

よくあるご質問

Q:オーバーレイを装着してきちんと食事ができますか?

A:ほとんどのお子様が数日で慣れて、問題なく食事ができるようになります。また、固いものなどを避ける必要もありません。

Q:オーバーレイを装着してきちんと食事ができますか?

A:ほとんどのお子様が数日で慣れて、問題なく食事ができるようになります。また、固いものなどを避ける必要もありません。 

また、数か月~数年かけて前歯の部分はしっかり位置が移動し、かみ合うようになりますので、ご安心ください。

Q:しゃべりづらくないですか?

A:オーバーレイを装着して数日は違和感がありますが、子供はすぐ慣れてしまいます。話しづらさは挙上量(何ミリ高さを出すか)で変わりますが、1~2週間もすると慣れきます。学校生活に支障はありません。 

Q:歯磨きしにくくないですか?

A:フロスは通せるので、特に第一大臼歯との間はしっかりフロスは通してください。連結部はフロスは通りませんが、歯茎の間を歯ブラシを当てて磨けば歯肉炎にもなりません。通常通り丁寧に歯磨きして、仕上げ磨きもしてください。

Q:治療を受ければ、大人の歯科矯正治療は必要ないのでしょうか?

A:かみ合わせの悪さの度合いによっては、治療が必要になります。なぜなら、オーバーレイ治療は大人の歯が正しい位置に生えるように促すことはできます。しかし、生えてくる永久歯の大きさや向きまでは、人間がコントロールできません。それで、歯の大きさや向きなどによって調整が必要な場合が生じます。それでも、既に正しい位置に生えている訳ですから、オーバーレイ治療をしていない場合と比較して、短期間の矯正で済みます。  

お問い合わせ

LINEでご相談

メールでご相談